こんにちは、あべのハルカス小室歯科・矯正歯科です。
突然ですが、被せ物や詰め物などの補綴物(ほてつぶつ)の治療を受ける際、「保険と自費、どっちがいいの?」「セラミックって他と何が違うの?」と悩まれる方、ご相談される方がとても多いです。
当院では、被せ物・詰め物について患者さん一人ひとりのニーズに合った治療を選んでいただきたいと考え、さまざまな素材を取り扱っています。もちろん、患者さんそれぞれに適した素材や治療方法を提案いたしますが、最終的に「どの素材の補綴物を選ぶか」は、患者さんご自身に決めていただくことになります。
保険診療の素材と自費診療(セラミック)を比較しながら、セラミック治療のメリットについて前編・後編に分けて分かりやすくご紹介します。
後編では、セラミック治療・当院で取り扱っているセラミックの素材についてより詳しく解説していきます。
被せ物・詰め物の治療の流れ
被せ物・詰め物の治療は、一般的に次のような流れで行います。詰め物の場合
- 虫歯や古い詰め物の除去
- 歯の形を整える
- 型取り
- 被せ物・詰め物の作製
- 装着・噛み合わせの調整
被せ物の場合
- 虫歯処置や歯根の炎症を取り除くための根管処置
- 土台作り
- 歯の形を整える
- 型取り
- 被せ物・詰め物の作製
- 装着・噛み合わせの調整
素材によって治療回数や精度、仕上がりに違いが出ることもあります。
保険診療と自費診療の素材の種類
保険診療で使われる主な素材
- CAD/CAM冠(白いプラスチック系素材)
- 銀歯(金銀パラジウム合金)
※CAD/CAM冠は使用できる部位や条件に制限があります。
自費診療(セラミック)の主な素材
- E-max(強化型ガラスセラミック)
ガラスセラミック(ガラス成分を含むセラミック)で比較的天然歯に馴染みやすい特徴があり、かつ、セレックブロックより強度が強い素材です。 - セレックブロック(ガラスセラミック)
天然歯に馴染みやすく審美性に特に優れています。そして、対合の歯に負担をかけない程度の硬さが特徴です。 - エナミック(ハイブリッドセラミック)
接着性が高く、硬さとしなやかさを兼ね備えた素材です。 - ジルコニア
強度があり、セラミック素材の中でも割れにくい素材です。
保険素材とセラミックのメリット・デメリット比較
保険診療のメリット・デメリット
①CAD/CAM冠
<メリット>
費用負担が少ない- 保険診療内でも白色の素材を入れられる
<デメリット>
- 変色・劣化しやすい
- 色が選べないためやや審美性に劣る
- 強度が弱く割れたり欠けやすい
- 汚れが付着しやすく虫歯が再発するリスクが高い
- 外れやすい
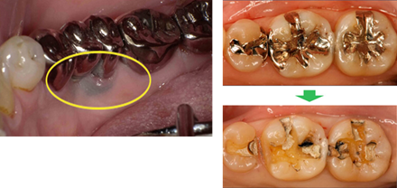
②銀歯(金銀パラジウム合金)
<メリット>
割れたり欠けたりの心配が少ない- 全国どこでも同じルールで受けられる
<デメリット>
- 見た目が劣る
- 金属アレルギーのリスクが高まる
- 金属イオンが溶けだし歯茎が黒く色素沈着する可能性がある(メタルタトゥー)
- 汚れが付着しやすく歯周病や虫歯の再発するリスクが高い
セラミック治療のメリット・デメリット
<メリット>

- 透明感があり天然歯に近い自然な見た目
- 強度があり、割れたり欠けたりしにくい
- 接着性が高い
- 汚れが付着しにくく歯周病や虫歯の再発リスクが低い
- 金属を使わないため金属アレルギーの心配がない
<デメリット>
-
保険が適用されないため費用がかかる
-
強い衝撃で欠ける可能性がある(※セラミックの素材にもよる)
こんな方にセラミックがおすすめです!
目をきれいにしたい- 被せ物を長持ちさせたい
- 金属アレルギーが心配
- 将来の再治療リスクを減らしたい
当院のセラミック治療への取り組みについて
当院では、セラミック治療を専門的に扱う学会である日本臨床歯科CAD/CAM学会に所属しており、小室暁先生が副会長を務めています。また、院内には指導衛生士・指導技工士が在籍しており、歯科医師・歯科衛生士・歯科技工士が連携しながら、精度・機能性・見た目のすべてに配慮したセラミック治療を行っています。素材選びだけでなく、噛み合わせや長期的な安定性まで考えた治療を大切にし、患者さんに安心して治療を受けていただける体制を整えています。
まとめ
被せ物・詰め物の素材には、保険診療・自費診療それぞれにメリットとデメリットがあります。
セラミック治療は、
- 見た目の美しさ
- 耐久性
- 再治療リスクの低さ
といった点で優れており、長期的な歯の健康を考えたい方におすすめの治療です。
当院では、患者さんのお悩みやご希望をしっかり伺い、最適な素材をご提案いたします。そして、治療内容をより深くご理解いただき、納得したうえで選択していただけるよう、トリートメントコーディネーターも在籍しております。患者さんのお話を伺いながら、ご希望に添えられるようサポートさせていただきますので被せ物・詰め物でお悩みの方は、お気軽にご相談くださいね。♩
後編では、セラミック治療・当院で取り扱っているセラミックの素材についてより詳しく解説していきます











