皆さんこんにちは。あべのハルカス小室歯科・矯正歯科です。
皆さんは、お子さまのお口の癖についてご存知でしょうか。お子さまが何気なく行っているお口の癖の中には、実は歯や顎の成長に悪影響を及ぼす「悪習癖」といわれているものが含まれていることがあります。
そこで、本記事では、悪習癖のひとつである「舌癖(ぜつへき)」について紹介していきます。
まずはじめに…
私たちは日常生活のなかで、無意識のうちにお口の周りの癖を行っていることがあります。このようなお口に関係する癖を総称して「口腔習癖(こうくうしゅうへき)」といいます。
代表的なものには、
- 口呼吸
- 指しゃぶり
- 爪噛み・鉛筆噛み
- 頬づえ
- うつぶせ寝
などがあげられます。
こういった口腔習癖が長期間続くことで、歯並びや噛み合わせに影響を及ぼすことがあります。
こうした歯並びや噛み合わせの乱れの原因となる恐れがある癖を「悪習癖(あくしゅうへき)」と呼び、そのなかでも特に多くみられる「舌癖」について、詳しくご紹介していきます。
舌癖とは?
「舌癖」とは、
- 舌で歯を押す
- 歯と歯の隙間に舌を入れる
- 舌が本来あるべき正しい位置にない
といった状態や癖のことをいい、生まれつきだけではなく日常生活の習慣がきっかけで起こることも少なくありません。例えば、口呼吸、指しゃぶりや長期間のおしゃぶりの使用、咀嚼数の少なさ、姿勢の悪さなどの習慣が積み重なることで、舌が正しい位置を覚えることができず舌癖につながってしまいます。
そのなかでも、舌癖には、
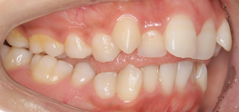
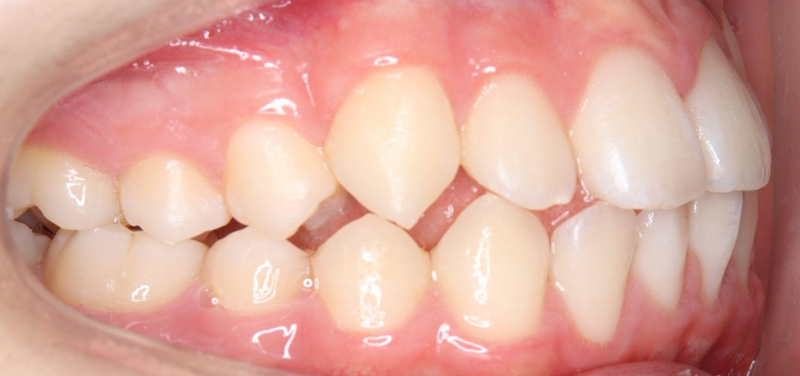
舌突出癖(ぜつとっしゅつへき)
舌を前に突き出す癖で、前歯に強い負荷がかかってしまうため開咬(かいこう:前歯が嚙み合わない状態)や、上顎前突(じょうがくぜんとつ:一般的には出っ歯)などの不正咬合の原因になってしまいます。
舌突出癖+上顎前突の参考症例①、②
低位舌(ていいぜつ):舌がいつも低い位置にある癖
口呼吸や、舌の筋力不足が原因となり、舌が本来あるべき位置よりも低い位置にある状態のことをいいます。正常な位置より下側に舌が位置しているため下の歯を押し、下顎が過度に発達してしまうことで、反対咬合(はんたいこうごう:受け口)や過蓋咬合(かがいこうごう:上の前歯が下の前歯に覆いかぶさり下の前歯が見えない状態)の原因になってしまいます。
「反対咬合」の症例
咬舌癖(こうぜつへき):舌を無意識に噛んでしまう癖
無意識のうちに前歯のみで舌の先端を噛んでしまうといった癖で、長期的に続けていると上と下の前歯に隙間ができてしまいい開咬の原因になってしまいます。うまく食べ物が噛み切れなくなってしまったり、発音に悪影響を及ぼす可能性があります。
「開咬」の症例
異常嚥下癖
食事中の嚥下(飲み込むこと)や、唾液を飲む時に、舌が上下前歯の間に入るように前に出てしまう癖をさします。本来の正しい嚥下では、舌が上顎のスポットの位置に触れ、押しあげるようにして食べ物を飲み込みます。この動きが正しく行えていないと上下の前歯に隙間ができてしまい開咬の原因になってしまいます。
以上のような種類があります。
舌癖は治すべき?
必ずしも治療が必要というわけではありませんが、舌癖はそのままにしておくと、長い時間を経て噛み合わせや歯並びが乱れていく原因になります。
そして、早いうちから歯列矯正をおこなっていたとしても、舌癖のせいで歯が再び動いてしまうこと(後戻り)があるため矯正を考えられている方は早めに舌癖の改善が必要です。
舌癖の改善方法について
舌癖の改善には、
生活習慣の見直し
お子様の癖づいてしまっている指しゃぶりや頬杖、口呼吸などは無意識のうちに見られる行為で、お子様自身ではなかなか改善する事が難しいです。そのため、保護者の目線からも観察しサポートしていただく必要があります。
舌やお口の筋肉を正しく使うための口腔機能改善トレーニング(MFT)
当院では、お子様向けに口腔機能検査を実施しております。舌が正しい位置(スポット)にあるか、舌やお口の筋肉を正しく使えているかなどを検査したうえで、口腔機能改善トレーニングを積極的に実施し、適切なアドバイスもさせていただきますのでお気軽にご相談ください♪
必要に応じて歯科医院での指導や装置の使用
当院では、矯正歯科医が舌癖に対するトレーニング、マイオブレースや舌を正しい位置で機能させるための成長を目的としたムーシールドという小児矯正専用の装置を使用して癖の改善をおこないます。装置を使用しての改善を希望される場合は、一度矯正相談の方でお悩みをお伺いさせていただきます。
まとめ
今回は、口腔習癖のひとつである舌癖について紹介しました。舌癖は、長期的に見てお子様の歯並びや発音へ悪影響を及ぼす恐れがあるので、早いうちから改善する必要があります。
当院では、お子様一人ひとりの口腔状態を確認し、無理のない範囲での癖の改善方法を提案・サポートさせていただきます。お子様のお口の周りでおこなわれる行為で「これは、舌癖かな?」など気になることがございましたら、お気軽にご相談くださいね。
また、小児歯科専用インスタグラムでも情報を更新していますので、ぜひフォローしてチェックしてみてくださいね。
















