痛みが少なく、歯がツルツルに

皆さん、「エアフロー」をご存知でしょうか?
歯科医院で行うクリーニングにはさまざまな方法がありますが、近年注目されているのが「エアフロー」です。
当院でもEMS社のエアフローを導入しており、「着色が気になる」「短時間で歯をきれいにしたい」という方におすすめのクリーニング方法です。今回はエアフローについてご紹介します。
エアフローとは?
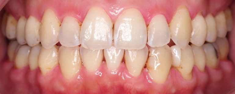
エアフローとは、微細なパウダーと水、空気をジェット噴射して歯の表面の汚れを落とすクリーニング方法です。
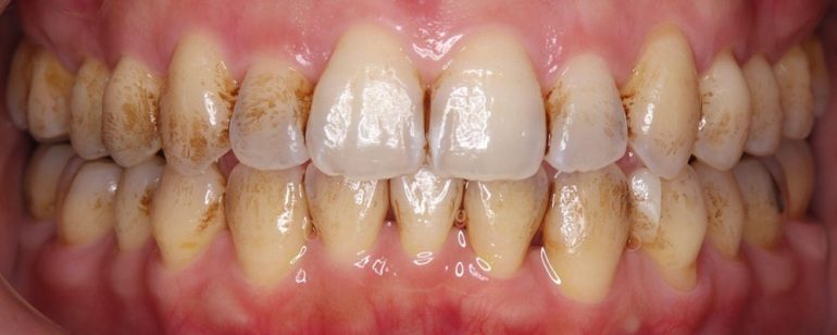
コーヒーや紅茶、ワイン、タバコなどによる着色汚れ(ステイン)や、歯の表面に付着したバイオフィルム(細菌の膜)を効率よく除去できます。
従来の器具で歯を磨いて落とす方法と比べ、歯や歯ぐきへの負担が少ないのが特徴です。
また、染め出しをしてバイオフィルムが付着している部位を「見える化」します。
これによりどこに汚れが残っているのかどの部分に重点的なケアが必要なのかを正確に把握することが出来ます。
そのうえで、EMS社のエアフローを用いて、バイオフィルムを優しく除去します。
歯石は強い器具を無理に使うことはせず、必要な場合のみ超音波スケーラーを使用します。
エアフローのメリット
エアフローには、以下のようなメリットがあります。
- 痛みや不快感が少ない
歯を強くこすらないのと、お湯を使用するので知覚過敏のある方でも比較的受けやすいです。 - 歯面を傷つけない
ご自身の歯(天然歯)はもちろん、インプラントやセラミックなどのかぶせも傷つけずに汚れや 着色を落とすことが出来ます。 - 短時間で広範囲をきれいにできる
歯と歯の間や、矯正装置の周囲など、磨き残しやすい部分にも効果的です。 - 歯本来の白さを取り戻せる
着色汚れを落とすことで、自然な歯の色がよみがえります。 - 虫歯・歯周病予防につながる
細菌の温床となるバイオフィルムを除去することで、お口の中を清潔に保ちやすくなります。
こんな方におすすめです
- 歯の着色が気になる方
- コーヒーやお茶、ワインをよく飲む方
- タバコを吸う方
- セラミックやインプラントが入ってる方
- 矯正治療の方
- 定期的なメンテナンスをより快適、効果的に受けたい方
エアフローとホワイトニングの違い
「歯が白くなるならホワイトニングと同じ?」と思われる方もいらっしゃいますが、エアフローは歯を削ったり漂白したりするものではありません。あくまで汚れを落とし、歯本来の色に戻すクリーニングです。より白さを求める場合は、ホワイトニングとの併用がおすすめです。
定期的なケアが大切です
エアフローは一度で効果を実感しやすいですが、汚れは日々の生活で再び付着します。3か月に1度の定期的なクリーニングを行うことで、虫歯の早期発見、予防に繋がります。
当院では、患者さまのお口の状態に合わせてエアフローを含めた最適なクリーニングをご提案しています。歯の着色やザラつきが気になる方は、ぜひお気軽にご相談ください。















